Keramische facings

Het uiterlijk van het gebit speelt een grote rol op psychosociaal gebied. Middels facings kunnen tanden worden verfraaid. De facings kunnen bestaan uit composiet of uit keramiek. Afhankelijk van uw gebitssituatie, uw voorkeuren en uw budget wordt samen met de esthetisch specialist gekozen voor het type materiaal. Hieronder vindt u meer informatie over keramische facings.

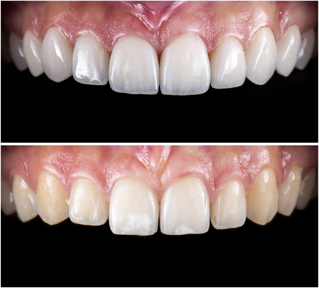
Keramische facings zijn dunne, op maat gemaakte schildjes die over de voorkant van tanden worden geplaatst om hun uiterlijk te verbeteren. Deze tandheelkundige restauraties zijn gemaakt van hoogwaardig keramisch materiaal en worden op maat vervaardigd om perfect te passen bij de natuurlijke vorm en kleur van de bestaande tanden. Ze zijn een populaire keuze voor mensen die hun glimlach willen verbeteren en esthetische onvolkomenheden willen corrigeren.

Een van de belangrijkste voordelen van keramische facings is hun natuurlijke uitstraling. Het keramische materiaal bootst de glans en het lichtdoorlatende karakter van natuurlijke tanden na, waardoor een onopvallende, maar toch stralende glimlach ontstaat. Bovendien zijn keramische facings duurzaam en bestand tegen verkleuring, waardoor ze een langdurige oplossing zijn voor cosmetische tandheelkundige verbeteringen.

Een nadeel van keramische facings is dat er vaak toch wat tandweefsel moeten worden weggeslepen. Daarnaast zijn de facings lastig te repareren. Bij breuk zal er een nieuwe gemaakt moeten worden. Gelukkig komt dit weinig voor.

Schrijf je in bij Mondzorgkliniek Askar

Benieuwd wat we voor u kunnen betekenen? Kom in contact met ons!

"*" geeft vereiste velden aan

Dit veld is bedoeld voor validatiedoeleinden en moet niet worden gewijzigd.